Recently Published Articles

Filter Applied:
Article image

Case Report | Open Access

Published on: 14 Feb 2026

Article ID: wjor.2026.b1409

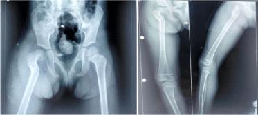
Frequent Bone Fracture Resolved after Ascending Aborted Children
Dr. Xinghong Yang* 1

Bone fractures represent a major global health concern and are most commonly attributed to trauma, osteoporosis, metabolic disorders, or age-related degeneration. The majority of fractures heal through well-characterized biological processes, and preventive strategies typically emphasize enhancing bone strength, improving balance, and ensuring environmental safety. However, a subset of individuals experiences frequent and recurrent fractures over extended periods despite adequate nutrition…

QR Code image
Article image

Case Report | Open Access

Published on: 13 Jan 2026

Article ID: wjor.2026.a1304

Retroperitoneal Dumbbell Neurofibroma Presenting as Wilms’ Tumour with Postoperative Spinal Cord Compression
Govani DR 1 Mehta AR 2 Midha PK 3 Govani ND 1 Panchasara NG 1 Patel RR 1 Patel RV* 1

A six‑year‑old girl presented with a left‑sided abdominal mass and a non‑functioning left kidney, initially diagnosed radiologically as Wilms’ tumor. Intraoperatively, the kidney was found to be compressed—not invaded—by a massive, benign‑appearing retroperitoneal tumor. The mass was excised with preservation of the kidney. Unrecognised extension of the tumor through the lumbar intervertebral foramen resulted in a postoperative spinal epidural hematoma, causing acute paraparesis. Emergency…

QR Code image
Article image

Review Article | Open Access

Published on: 05 Jan 2026

Article ID: wjor.2026.a0503

Tennis Elbow
Saccomanni B* 1

Lateral epicondylitis or tennis elbow is a painful and functionally limiting entity affecting the upperextremity and is frequently treated by hand surgeons. Corticosteroid injection is one of the most common interventions for lateral epicondylitis or tennis elbow. Here, a review of the medical literature on this treatment is presented.

Keywords: Tennis Elbow; Steroid

QR Code image
Article image

Research Article | Open Access

Published on: 18 Dec 2025

Article ID: wjor.2025.l1801

Regenerative Medicine Combined with Physiotherapy in Orthopedic Rehabilitation: Evidence, Mechanisms, and Clinical Protocols
P. Muthukrishnan* 1 S. Rajadurai 2

Regenerative medicine encompasses emerging biologic interventions including platelet-rich plasma (PRP), mesenchymal stem cell (MSC) therapies, and tissue engineering approaches that harness growth factors and cellular biology for musculoskeletal repair. While individually effective, recent evidence demonstrates that combining regenerative therapies with evidence-based physiotherapy protocols produces superior functional outcomes, sustained pain relief, and structural tissue regeneration…

QR Code image
Article image

Research Article | Open Access

Published on: 12 Dec 2025

Article ID: wjor.2025.l1201

Impact of Oral Contraceptive and Hormone Replacement Therapy Use Resulting in Increased Risk of Meniscal Degeneration in Female Athletes
Amari Eubanks 1 Kiana Allen 1 Dy’Quan Kearney 1 Diwane Mills 1 Damon Ross 1 Madison Burnard 2 Elizabeth Beyene 4 Mekdem Bisrat* 4 Syed Fahad Gillani 3 Miriam Michael 3,4

Background: Meniscus degeneration is the gradual breakdown of cartilage in the knee that could lead to osteoarthritis. Female athletes in high-impact sports are at an increased risk, but the underlying reason for this is unknown. The deficiency of sex hormones (i.e, Estrogen) is known to influence connective tissue and joint health. Still, the impact of elevated hormones, such as those from oral contraceptives and hormone replacement therapy, is unknown. The study aims to…

QR Code image
Article image

Research Article | Open Access

Published on: 12 Dec 2025

Article ID: wjor.2025.l1202

Femur Fracture Risk in HIV-Positive Patients with End Stage Renal Disease: A Comparative Analysis from 2004 2013 to 2014–2023
Keleb Mehari 1 Damon Ross 1 Justin Morrison 1 Ryan Mitchell 1 Rawan Elkomi 1 Syed Fahad Gillani 2 Samrawit Zinabu 2 Mekdem Bisrat* 2 Miriam Michael 2

Background: While femur fractures typically affect the elderly, HIV-positive patients with end stage renal disease (ESRD) are at an accelerated risk due to prolonged antiretroviral therapy (ART) use and bone loss. The combined impact of these factors on fracture trends remains under-explored.

Objective: To evaluate the association between femur fractures and the coexistence of HIV and ESRD, and to analyze trends in fracture incidence and…

QR Code image
Article image

Research Article | Open Access

Published on: 03 Dec 2025

Article ID: wjor.2025.l0303

Intraoperative Ketamine and Postoperative Outcomes After Total Knee Arthroplasty: Association with Revision Surgery and Analgesic Use
Tegshjargal Baasansukh 1 Sarah Gore 1 Chukwudalu Ononenyi 1 Rawan Elkomi 2 Malachi Scott 1 Syed Fahad Gillani 2 Mekdem Bisrat* 2 Miriam Michael 2,3

Background: Ketamine is widely used as an anesthetic adjunct in total knee arthroplasty (TKA), yet its association with surgical revision and postoperative analgesic exposure remains unclear.

Objectives: To evaluate the association between intraoperative ketamine and one-year revision surgery as well as early postoperative analgesic exposure following primary TKA.

Methods: We conducted a retrospective,…

QR Code image
Article image

Research Article | Open Access

Published on: 29 Nov 2025

Article ID: wjor.2025.k2903

Fracture and Polycystic Ovarian Syndrome in Reproductive-Age Women
Eritrea Negussie 1 Diwane Mills 2 Amari Eubanks 2 Taylor Estes 2 Mekdem Bisrat* 2 Elizabeth Beyene 2 Miriam Michael 2,3

Background: Polycystic ovarian syndrome (PCOS) is a common endocrine disorder in reproductive age women and has been associated with alterations in bone metabolism. However, the clinical impact of PCOS on fracture risk remains unclear, particularly in patients with coexisting uterinefibroids.

Methods: We conducted a retrospective cohort study using the Global Collaborative Network database. Women aged 15–45 with both PCOS and uterine fibroids…

QR Code image
Article image

Research Article | Open Access

Published on: 28 Nov 2025

Article ID: wjor.2025.k2802

Perioperative Tranxemic Acid: A Game-Changer for Hip, Knee, and Spine Surgery Safety
Dy’Quan Kearney 1 Amari Eubanks 1 Syed Fahad Gillani 4 Edward Arenas 1 Elijah McMillian 1 Mekdem Bisrat* 2 Elizabeth Beyene 2 Miriam Michael 2,3

Background: Tranexamic acid (TXA) is widely used in orthopedic surgeries to reduce blood loss, but concerns persist regarding its association with thromboembolic complications. This study aimed to compare the incidence of thromboembolic events in patients undergoing spine, knee, or hip surgeries with and without perioperative TXA administration.

Methods: Using TriNetX, a federated electronic health record network, we identified 406,609 matched…

QR Code image
Article image

Case Report | Open Access

Published on: 10 Nov 2025

Article ID: wjor.2025.k1001

A Case of Intertrochanteric Valgus Osteotomy for Delayed Presentation of the Paediatric Post-Traumatic Coxa Vara After Neck of Femur Fracture
Dr. Alok Chandra Agrawal 1 Dr. Punit Gaurav* 2 Dr. Harshal S. Sakale 3

Background: Coxa vara in children is a rare but functionally disabling complication following femoral neck fractures, often arising from malunion or growth disturbances. Correction requires addressing both mechanical alignment and physeal orientation to prevent recurrence. This report highlights a successful intertrochanteric valgus osteotomy using a proximal femoral locking plate in a young child with post-traumatic coxa vara.

Case Presentation: A…

QR Code image