📢 Publish Your Research for Free - Full APC Waiver, No Hidden Charges. Submit Your Article Today! Submit Now →

International Open Access Journals

Recent Open Access Articles

Browse our most recent publications, featuring peer-reviewed research from across scientific disciplines and geographic regions. These articles reflect the ongoing pursuit of knowledge and innovation, offering timely contributions to the global academic community.

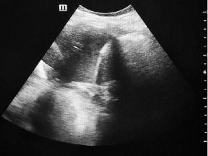
Congenital Neonatal Infected and Bleeding Hepatic Hamartoma Presenting as a Falciform Ligament Abscess, Successfully Treated by Emergency Left Hepatic Lobectomy, with Subsequent Development of Infantile Hemihypertrophy Open Access
WebLog Journal of Cancer and Clinical Research

Congenital Neonatal Infected and Bleeding Hepatic Hamartoma Presenting as a Falciform Ligament Abscess, Successfully Treated by Emergency Left Hepatic Lobectomy, with Subsequent Development of Infantile Hemihypertrophy

Govani DR, Mehta AR, Midha PK, et al.

Mesenchymal Hamartoma of the Liver (MHL) is a rare benign hepatic pediatric tumor of infancy with approximately 20% of cases diagnosed during the neonatal period, typically presenting as an enlarging abdominal mass. Rare acute complications such as intralesional bleeding and infection can lead…...

Giant Spontaneous Inferior Epigastric Artery Rectus Sheath Hematoma Open Access
WebLog Journal of Hematology

Giant Spontaneous Inferior Epigastric Artery Rectus Sheath Hematoma

Zaparackaite I, Govani DR, Singh SJ, et al.

A spontaneous inferior epigastric artery rectus sheath hematoma is a rare condition where bleeding occurs within the sheath of the rectus abdominis muscle, often due to damage to the inferior epigastric artery or its branches. We present an adult case of giant spontaneous left inferior…...

A Study on the Role of Intermittent Neuromuscular Technique Versus Nutritional Intervention (Fruits and Vegetables) Along with Conservative Management in Patients with Cervicogenic Headache: A Systematic Review Open Access
Systematic Review doi icon10.5281/zenodo.18829756
WebLog Journal of Physical Therapy and Rehabilitation

A Study on the Role of Intermittent Neuromuscular Technique Versus Nutritional Intervention (Fruits and Vegetables) Along with Conservative Management in Patients with Cervicogenic Headache: A Systematic Review

Nagamanikandan R, Muthukrishnan P

Background: Cervicogenic Headache (CGH) is a symptomatic headache condition. Causing from, cervical segmental dysfunction, suboccipital muscle hypertoxicity and neuromuscular dysfunction. Non-invasive treatment including, physiotherapy, postural education, and pharmacotherapy…...

Pediatric Gynecological and Breast Surgical Lesions from Fetal Life to Early Adulthood: A Comprehensive Review Open Access
Review Article doi icon10.5281/zenodo.18820689
WebLog Journal of Women’s Health

Pediatric Gynecological and Breast Surgical Lesions from Fetal Life to Early Adulthood: A Comprehensive Review

Zaparackaite I, Singh SJ, Bhattacharya DC, et al.

Objectives: To synthesise current evidence on congenital, developmental, infectious, neoplastic, and traumatic gynecological and breast lesions requiring surgical evaluation or intervention in girls from fetal life to 21 years, highlighting diagnostic pathways, operative…...

Prevalence of Early Musculoskeletal Discomfort Related to Digital Device Multi-Tasking and Ergonomic Practices in College Students Open Access
WebLog Journal of Physical Therapy and Rehabilitation

Prevalence of Early Musculoskeletal Discomfort Related to Digital Device Multi-Tasking and Ergonomic Practices in College Students

Swaminathan V, Dr. Nisarudeen M

Background: The increased and rapid use of digital devices puts college students into a state of prolonged screen time, multi-tasking behaviors, and poor ergonomics practices, leading to early musculoskeletal discomfort. Early symptoms need to be identified to help avoid…...

Impact of Prolonged Mobile Phone Use and Sustained Forward Head Posture on Musculoskeletal Dysfunction, Stress Hormone Regulation, and Autonomic Physiological Responses: A Physiotherapy Perspective Open Access
Research Article doi icon10.5281/zenodo.18829469
WebLog Journal of Physical Therapy and Rehabilitation

Impact of Prolonged Mobile Phone Use and Sustained Forward Head Posture on Musculoskeletal Dysfunction, Stress Hormone Regulation, and Autonomic Physiological Responses: A Physiotherapy Perspective

Muthukrishnan P, Rajadurai S

Smartphone use has become ubiquitous in modern society, with global users exceeding 6.8 billion individuals. Sustained Forward Head Posture (FHP) adopted during prolonged mobile phone engagement represents a significant public health concern, influencing musculoskeletal integrity, neuroendocrine…...

Ureteric Fibroepithelial Polyp in a Child-Recurrent Presentations and Diagnostic Dilemma Open Access
WebLog Journal of Nephrology

Ureteric Fibroepithelial Polyp in a Child-Recurrent Presentations and Diagnostic Dilemma

Swamy KB, Govani DR, Mehta AR, et al.

Benign ureteral polyps, also known as fibroepithelial polyps, can cause upper urinary tract obstruction by growing to block the flow of urine from the kidney. Fibroepithelial polyps are very rare benign lesions originating from the mesoderm. We have presented an interesting and unusual case who…...

Comparative Effectiveness of Intermittent Neuromuscular Electrical Stimulation Versus High-Fruit-and-Vegetable Dietary Intervention as Complementary Therapies in Cervicogenic Headache Management: A Randomized Controlled Trial with Mechanistic Outcomes Open Access
Research Article doi icon10.5281/zenodo.18870263
WebLog Journal of Musculoskeletal Disorders

Comparative Effectiveness of Intermittent Neuromuscular Electrical Stimulation Versus High-Fruit-and-Vegetable Dietary Intervention as Complementary Therapies in Cervicogenic Headache Management: A Randomized Controlled Trial with Mechanistic Outcomes

Nagamanikandan R, Muthukrishnan P

Cervicogenic Headache (CGH), originating from cervical musculoskeletal dysfunction and associated neuropathological cascades, represents a significant clinical burden affecting 2.5-4.1% of the global population with limited evidence-based complementary intervention strategies. This randomized…...

Osteoporosis: Contemporary Understanding, Diagnostic Advances, and Evolving Therapeutic Strategies Open Access
Research Article doi icon10.5281/zenodo.18811618
WebLog Journal of Gerontology and Geriatrics

Osteoporosis: Contemporary Understanding, Diagnostic Advances, and Evolving Therapeutic Strategies

Zaparackaite I, Singh SJ, Bhattacharya DC, et al.

Objectives: To synthesise current evidence on the epidemiology, risk factors, diagnostic strategies, and therapeutic approaches in osteoporosis, with emphasis on recent advances in risk stratification, imaging, and pharmacological management such as anabolic therapies, vitamin D…...

Editorial Board of Excellence

Behind every groundbreaking discovery is a team of discerning minds. Our Editorial Board upholds the highest standards of scientific rigor and integrity. Comprising experts from leading institutions across the globe, they bring diverse perspectives and deep domain knowledge. Together, they curate, critique, and champion research that advances science and inspires innovation.

Zhuyi Wang

Zhuyi Wang

Ph.D. Student

Shandong University

China

Dr. Sayed Rouhollah Mousavi, Ph.D.

Dr. Sayed Rouhollah Mousavi, Ph.D.

Assistant Professor

Faculty of Engineering, Shahid Chamran University

Islamic Republic of Iran

Dr. Seong hyeok Song, Ph.D.

Dr. Seong hyeok Song, Ph.D.

Adjunct Professor

Sun Moon University, Asan Campus

Republic of Korea (ROK)

Prof. Ir. Dr. Abdul Latif Ahmad, CEng., FIChemE, P.Eng

Prof. Ir. Dr. Abdul Latif Ahmad, CEng., FIChemE, P.Eng

Professor

School of Chemical Engineering, Universiti Sains Malaysia

Malaysia

Dr. Masayo Ayukawa, RN, MSN

Dr. Masayo Ayukawa, RN, MSN

Professor

Department of Nursing, Faculty of Nursing, Matsumoto College of Nursing

Japan

Dr. Giuseppe Murdaca, M.D., Ph.D.

Dr. Giuseppe Murdaca, M.D., Ph.D.

Associate Professor

Di.M.I.-University of Genova

Italy

Dr. Kong Deliang, Ph.D.

Dr. Kong Deliang, Ph.D.

Postdoctoral Researcher

China Agricultural University

China

Dr. Messaoud Saidani, BEng (Hons. 1st), Ph.D., PgCertLT, SFHEA, CEng, FIStructE

Dr. Messaoud Saidani, BEng (Hons. 1st), Ph.D., PgCertLT, SFHEA, CEng, FIStructE

Associate Professor & Associate Director of Research and Engagement

Research Institute for Clean Growth and Future Mobility, Coventry University

United Kingdom

Dr. Fahad Alturise, Ph.D.

Dr. Fahad Alturise, Ph.D.

Associate Professor

Department of Cybersecurity, College of Computer, Qassim University

Saudi Arabia

Prof. (Dr.) Atul Prakash, Ph.D.

Prof. (Dr.) Atul Prakash, Ph.D.

Professor & Head

Uttar Pradesh Pandit Deen Dayal Upadhyaya Pashu Chikitsa Vigyan Vishwavidyalaya

India

Prof. Hermis Iatrou, Ph.D.

Prof. Hermis Iatrou, Ph.D.

Professor

National and Kapodistrian University of Athens

Greece

Dr. Seyed Mosayeb Daryanavard, Ph.D.

Dr. Seyed Mosayeb Daryanavard, Ph.D.

Faculty

University of Hormozgan

Islamic Republic of Iran

Dr. Hanaa Reyad Abdallah, Ph.D.

Dr. Hanaa Reyad Abdallah, Ph.D.

Associate Professor

Medical Research and Clinical Studies Institute, National Research Centre (NRC)

Egypt

Obulezi Okechukwu Jeremiah, M.Sc.

Obulezi Okechukwu Jeremiah, M.Sc.

Lecturer

Nnamdi Azikiwe University

Nigeria

Dr. Aydın Sinan Apaydın, Ph.D.

Dr. Aydın Sinan Apaydın, Ph.D.

Specialist Physician

Karabuk University Karabuk Training and Research Hospital

Turkey

Global Indexing & Abstracting

Our journals are proudly indexed in top-tier scholarly databases, ensuring your research reaches a global audience with maximum visibility, credibility, and impact. By publishing with us, your work becomes part of a trusted network of knowledge that’s accessible to researchers, institutions, and thought leaders worldwide.

Our Peer Review Process

Ascertaining Quality & Integrity in Science

Peer review process is an essential step in science publishing, in which competent scholars evaluate the submitted work for its originality, reproducibility, ethics, correctness and impact to the field. Peer review has two main goals that it is designed to accomplish. Read More...